「鏡を見ると、なんだか顔が左右非対称な気がする」
「笑ったときの口元の歪みがコンプレックス…」
このようなお悩みはありませんか?
私たちの体は、ほとんど左右対称に作られていますが、口元から下にかけては、左右非対称になっている方もいて、違和感を感じてしまうことがあるでしょう。
歯並びや骨格が決める!?お顔の印象のコラムでもお話ししたように、お口周りの印象は、お顔全体の印象に大きく関与します。
もしかすると、お顔が左右非対称に見える原因は、歯並びや噛み合わせにあるかもしれません。
今回は、ご自身でできる顔の歪みのセルフチェック方法から、歪みを引き起こす4つの原因、治療によってどのように改善できるのかについて、詳しく解説します。
まずは顔の非対称の度合いをセルフチェック

まず、ご自身の顔の状態を客観的にチェックしてみましょう。鏡を用意して、以下の項目に当てはまるものがないか確認してみてください。
- 鼻筋が顔の中心からズレている
- 左右の口角の高さが違う
- 笑ったときに片方の歯茎だけが目立つ
- ほうれい線の深さが左右で違う
- 下の顎の先端が、顔の中心から左右どちらかにズレている
- 食べ物を噛むとき、いつも同じ側で噛む癖がある
いかがでしたか?もし当てはまる項目があれば、その原因は歯並びや顎の骨格にある可能性があります。
下顎が成長する2つの仕組み

まずお顔が左右非対称になる理由を説明する前に、下顎の成長発育について解説します。
下顎の骨は、主に2つの異なる仕組みで成長します。
軟骨性成長(なんこつせいせいちょう)
耳の少し手前にある顎関節の部分(下顎頭:かがくとう)で見られる成長です。この部分にある軟骨が硬い骨に置き換わることで顎が縦に長くなっていきます。
子どもの頃から硬いものをよく噛んで食べる習慣は、顎の健全な成長を促すと考えられています。逆によく噛まない食生活だと、成長が不十分になる可能性があります。
骨膜性成長(こつまくせいせいちょう)
顎関節以外の部分で起こる成長です。骨の表面にある骨膜という薄い膜の働きで、骨が厚みや幅が増えていきます。
例えば、奥歯の後ろの部分(下顎枝:かがくし)では、骨の吸収と添加が繰り返されることで、顎全体が形を変えながら大きくなります。このように、骨の厚みが増すことで、全体的に大きくなっていくのです。
なぜ顔が左右非対称になるの?考えられる4つの原因
お顔の左右のバランスが崩れる原因は、一つだけとは限りません。骨格、歯並び、癖、筋肉といった要因が絡み合っています。ここでは、顔が左右非対称になる4つの原因を解説します。
顎の骨格そのものの歪み

お顔の左右のバランスが崩れる要因の一つに、土台となる顎の骨そのものの歪みが挙げられます。
実は、上顎と下顎は同じペースで成長するわけではありません。一般的に上顎の成長が先にピークを迎え、少し遅れて下顎が成長していきます。この成長のタイミングのズレが、歪みにつながることがあります。

例えば、受け口(下顎前突:かがくぜんとつ)のお子さんの場合、下の顎が上の顎よりも前に出ているため、上顎が前方に成長するのを妨げてしまう可能性が高くなります。結果として、上顎が本来の大きさまで十分に成長できず、上下の顎のバランスが崩れてしまいます。
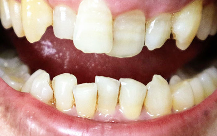
歯並び・噛み合わせのズレ

歯並びが乱れていると、食べ物をしっかり噛むために顎を左右どちらかにズラして噛む癖がつきやすくなります。
例えば、奥歯が横にずれて噛み合っている交叉咬合(こうさこうごう)のような状態では、顎をズラさなければうまく噛めません。このような毎日の小さなズレの積み重ねが顔全体の歪みとして定着してしまうのです。
頬杖・片側噛みなどの癖

頬杖や、いつも同じ側ばかりで食べ物を噛む癖はありませんか?こうした日常の何気ない癖も、顔の歪みを引き起こす要因となります。
例えば、下顎の成長期に頬杖をついていると、下顎そのものが横方向に押され、顎が成長する方向に対して悪影響を与えます。
また、片側の歯だけで噛む、片側噛みの癖があると、よく噛む側の成長が良くなる一方、そうでない側の成長はあまり促されなくなってしまいます。
このように、歯やお口に関する癖も下顎の成長に悪影響を与えるため、下顎が左右非対称になる原因となります。
筋肉のバランスの崩れ

顔には表情筋や食べ物を噛むための咀嚼筋(そしゃくきん)があります。他にも、下顎のエラと呼ばれるところには、咬筋(こうきん)という筋肉がありますが、これはお口を閉じるための筋肉です。
歯並びが悪く、左右の筋肉を使う頻度に差が出ると、よく使われる側の筋肉は太く発達し、あまり使われない側は痩せていきます。この筋肉量の左右差が、エラが張って見えたり、顔つきがアンバランスに見えたりする原因となります。
顔の歪みは矯正治療で改善できる?
もし、上でご説明したような原因が考えられる場合、有効な対応策となるのは矯正治療です。ただし、年齢や原因によって治療法や改善できる範囲は異なります。
子供の場合

顎の骨が成長途中にあるお子さんの場合、コラムでもお伝えした小児矯正が有効です。
小児矯正は、永久歯が生え始める6歳ごろからの1期治療と、中学生ごろからの2期治療に分けられますが、顎の骨格を整えるのに効果があるのは1期治療です。
顎の成長をコントロールする装置を使い、骨格バランスを修正することができます。もしお子さんの顔のバランスや歯並びに気になる点があれば、早めに歯科医院で相談することをおすすめします。
1期治療と2期治療の違いや費用などについては、町田歯科の矯正情報特設サイトで詳しく解説しています。興味のある方は、併せてご参考になさってください。
大人の場合

顎の成長が終わっている大人の場合は、現在の歯並びと骨格の状態に合わせて、矯正治療か外科的治療を選択します。
歯の傾きや噛み合わせのズレが主な原因で顔が歪んで見えている場合は、歯列矯正だけで改善が期待できます。矯正治療というと、お子さんや10代の若い方向けの治療と思う方もいらっしゃいますが、今からでも遅くない!大人の矯正治療のコラムでもお伝えしたように、大人の方でも矯正治療は可能です。
正しい位置でしっかりと噛めるようにすることで、顎が本来あるべき自然な位置に戻り、口元の歪みや顔の輪郭が整って見えるようになるでしょう。
顎変形症の場合は

ただし、骨格そのものに大きなズレがある顎変形症と診断された場合は、歯列矯正だけでは根本的な解決が難しく、顎の骨を切って正しい位置に移動させる、顎矯正手術を伴う外科的矯正治療が必要になります。
「手術」と聞くと不安に感じるかもしれませんが、これは美容整形とは異なり、「正しい噛み合わせを取り戻し、顎の機能を回復させる」ことを目的とした医療行為です。そして、条件を満たせば保険が適用されます。
顎変形症の種類や治療法に関しては、顎変形症(がくへんけいしょう)についてのコラムで詳しく解説しておりますので、併せてご参照ください。
顔の左右非対称のお悩みは早めに町田歯科へご相談を

顔の歪みは、顎の骨格だけでなく、歯並びの乱れ、頬杖や片側噛みといった癖、筋肉のアンバランスなどが絡み合って生じます。
歯並びや噛み合わせが原因の場合、矯正治療によって顎が本来の位置に戻り、筋肉のバランスが整うことで、顔の左右非対称が改善される可能性があります。ただし、骨格そのものに大きなズレがある場合は、外科手術を伴う矯正治療が必要になるでしょう。
もしご自身の顔のバランスが気になるなら、まずは歯科医院で相談することが大切です。
町田歯科は、患者さん一人ひとりのお悩みに真摯に耳を傾け、丁寧なカウンセリングと精密な検査を通じて、顔の歪みの原因を探り、適切な治療法をご提案いたします。
原因や解決策がわかるだけでも、きっと気持ちが軽くなるはずです。今回のコラムをお読みになって、気になる点やご質問がある方は、どうぞお気軽に町田駅すぐそばの町田歯科までご相談ください。








